1/8
下一頁

前段時間天氣降溫,老莫莫名其妙感到頭疼,他以為是自己感冒了,隨便吃了點藥,便也沒再管這件事。
誰能料到,一天晚飯過後,照常出門散步的老莫,還沒走兩步就兩眼一黑暈倒在地,過路的行人發現之後,趕緊將老莫送入醫院搶救。
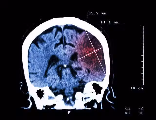
到院時,老莫已經出現斜視嘴和斜視眼的症狀,醫生初步診斷為突發腦梗,馬上對老莫進行急救。遺憾的是,由於情況嚴重,老莫永遠地閉上了眼睛,死於大面積腦血管堵塞。
醫生推測,可能是感冒惡化了老莫的原有疾病,冷風一吹,一直被耽誤治療的高血壓就突然爆發,誘發了腦梗塞,奪走了老莫的寶貴生命。
02 24歲小伙一周腦梗兩次,接受緊急手術
腦梗,並不是老年人的「專屬」,近些年,它的魔爪也正在不斷伸向年輕人,24歲的小吳就深受其害。
小吳是一家網際網路公司的程式設計師,在這個行業內996、007早已是家常便飯,小吳就曾嘗試過連續一個月加班到一兩點。雖然工作壓力巨大,但小吳仗著自己年輕身體素質好,還是決定多吃幾年青春飯,攢夠老本再跳槽。
沒成想,意外來得這麼突然。一天,小吳正在上班,突然一陣針扎般的頭痛向他襲來,劇痛之下他無法思考,掙扎著想向身邊的同事求助,卻發現自己連話都說不完整,只能發出咿呀咿呀的聲音。
身邊同事察覺不對,趕緊把小吳送往醫院,經醫生診斷小吳被確診為腦梗,需要馬上進行手術才能保命。好險,最終手術順利,預後情況也良好,經過短暫休息後,小吳又重新返回公司上班。
然而,還沒等小吳工作幾天,他又因為腦梗倒在了崗位上。那天,正在家裡加班的小吳突然癱倒在地,一側肢體出現偏癱,再次出現口齒不清、意識模糊的情況。