4/5
下一頁

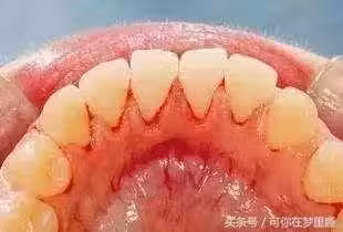
很抱歉,牙齒的問題可以解決,但牙齦一旦萎縮,就是不可逆的,更無法自愈!所以,當發現有牙齦萎縮的跡象時,就該不要再刺激牙齦,維護好口腔。
預防和控制牙齦萎縮的有效方法有哪些?
1、不用刺激牙齦的牙膏——非離子鹼性牙膏
現在,每天2次刷牙,覺得注意了口腔衛生,但30來歲就開始牙齦萎縮的大有人在,究其原因,大多數是因為市面上不少的牙膏含有月桂醇硫酸酯鈉,這種化學物質清潔力強,泡沫豐富,脫水力和刺激性也強,會刺激牙齦發生微小破裂,導致牙齦慢慢受刺激而提早萎縮。
預防和控制牙齦繼續萎縮建議使用非離子鹼性牙膏,這類牙膏用非離子鹼性成分取代了月桂醇硫酸酯鈉,成分優質也很溫和,清潔力好,對預防口腔炎症和牙齦萎縮都很有幫助。
2、不要橫著刷牙——巴氏刷牙法
不要使用拉鋸式的橫刷法,應該將牙刷毛放在牙齒與牙齦交界處,刷毛指向牙根方向與牙齒表面呈45度角,原位水準顫動,然後順著牙縫豎刷。